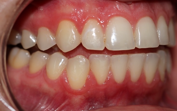
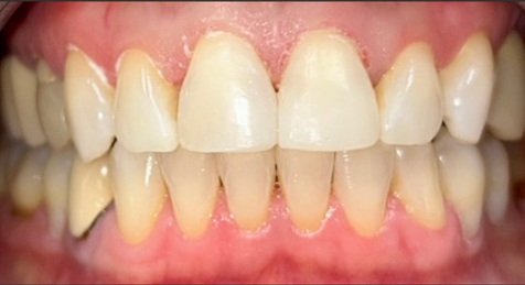
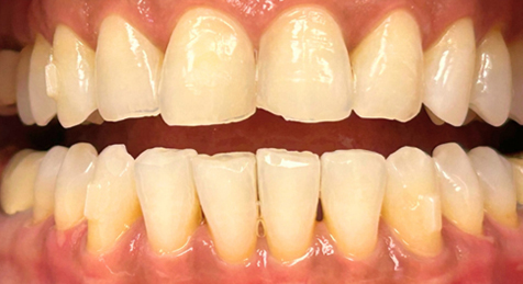
Josie was worried about her discolored and chipped fillings in the front teeth. Dr. Ma did two fillings and fixed them in one visit.
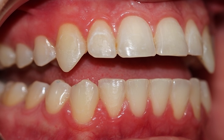
Leal wanted fangs for her event, and Dr. Ma created them.