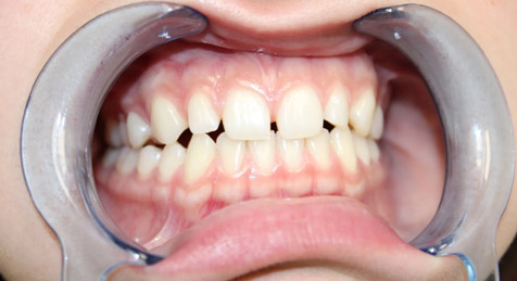
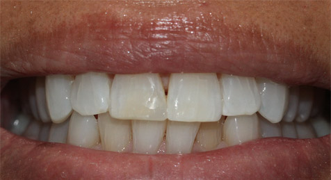
Sophie did braces and aligners three times, but still couldn't fix her gaps. Dr. Ma fixed them with 6 bonding in one visit.
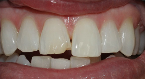
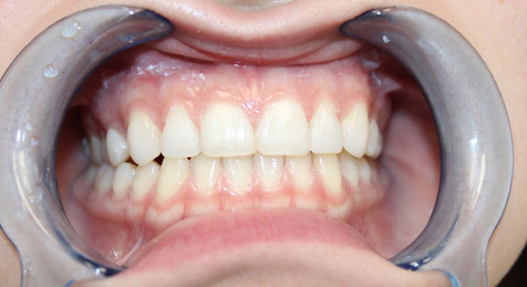
Dental Bonding 4
Before
After
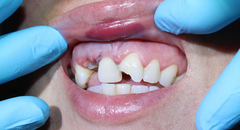
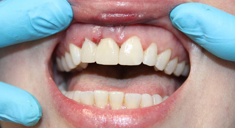
Rachel chipped her front tooth, and we fixed it with a simple filling.
Dental Bonding 5
Before
After
Mia is missing her side teeth, and with braces, the doctor moved the canine tooth forward. She is very concerned about the look, and Dr. Ma fixed them with minimal invasive fillings in one visit.
Dental Bonding 6
Before
After
Dee was in an accident and broke her teeth. Dr. Ma repaired the look in one visit.
Dental Bonding 7
Before
After
Chris had a misshapen tooth and gaps, and could not smile. Dr. Ma added some filling to re-establish his confidence.