Top Cosmetic Dentist in San Antonio, TX
At Dominion Smiles, we're proud to be recognized among the best cosmetic dental providers in San Antonio. Our skilled dentists, Dr. Ruiwen Ma and Dr. Aliaksandr Dolbik, bring years of expertise and a genuine passion for transformative dental care. We believe everyone deserves to smile with confidence, and our affordable options make that possible for patients throughout the San Antonio area.
Don't just take our word for it — our glowing reviews speak volumes about our commitment to exceptional care and stunning results. From subtle enhancements to complete smile makeovers, we're here to help you achieve the beautiful, healthy smile you've always wanted.
What Is Cosmetic Dentistry?
Cosmetic dentistry focuses on improving the appearance of your smile while maintaining or enhancing your oral health. Unlike general dentistry that primarily addresses dental health issues, cosmetic procedures are designed to create aesthetic improvements — whiter, straighter, more evenly proportioned teeth that complement your facial features.
At Dominion Smiles, we believe in blending artistry with dental science. Our services go beyond just making teeth look better — we create harmony between your smile and your overall appearance. Whether you're looking for minor enhancements or dramatic transformations, our cosmetic treatments are customized to achieve natural-looking results that last.
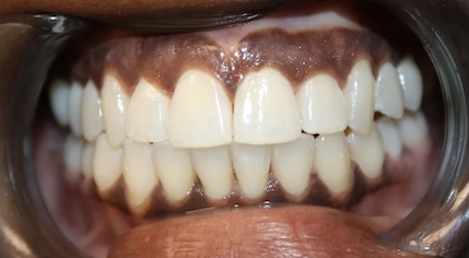
Patient Results



What Common Issues Can Cosmetic Dentistry Help?
Our cosmetic dentistry solutions address a wide range of concerns:
- Discolored or stained teeth
- Chipped, cracked, or broken teeth
- Gaps between teeth
- Misshapen or uneven teeth
- Missing teeth
- Gummy smiles
- Old or discolored fillings
- Minor or major misalignments
Many patients are surprised to discover how quickly and effectively these issues can be resolved with modern cosmetic techniques. During your consultation, we'll discuss which options might work best for your specific situation and desired outcome.
Popular Cosmetic Services We Offer
Dentures
Whether you need full or partial dentures, our custom-fitted solutions restore both function and appearance. Modern dentures are more comfortable and natural-looking than ever before, giving you back your smile and confidence. Our dentists meticulously design each denture to complement your facial features and provide optimal function.
Veneers
Transform your smile with our custom porcelain veneers — thin shells precisely crafted to cover the front surface of teeth. Veneers can instantly correct issues like discoloration, chips, gaps, or slight misalignments. Our patients love the dramatic before & after results that veneers provide in just two appointments.
Teeth Whitening
Achieve a brighter, more youthful smile with our professional teeth whitening treatments. Unlike over-the-counter products, our professional-grade solutions deliver consistent, dramatic results without damaging your enamel. We offer both in-office treatments for immediate results and take-home kits for gradual whitening at your convenience.
Dental Bonding
Our dental bonding procedures use tooth-colored composite resin to repair minor imperfections. This affordable, minimally invasive option can fix chips, close small gaps, and improve the shape of teeth in just one visit. The results look completely natural and can last for years with proper care.
What to Expect During Your Exam With Our Cosmetic Dentist
Your journey to a more beautiful smile begins with a comprehensive consultation:
- Detailed Discussion: We'll talk about your smile goals, concerns, and expectations
- Comprehensive Examination: We'll evaluate your oral health, including teeth, gums, bite, and jaw alignment
- Digital Imaging: State-of-the-art photographs and X-rays help us analyze your smile from every angle
- Treatment Planning: We'll discuss your customized treatment options, timelines, and investment
- Visual Preview: For many treatments, we can show you a digital and physical preview of your potential results
Our approach focuses on education and transparency — we want you to feel confident in your treatment decisions and excited about your future smile.
Cosmetic Dentistry FAQ
Pricing and Insurance
At Dominion Smiles, we believe beautiful smiles should be accessible to everyone. We offer transparent pricing and several payment options:
- Detailed cost breakdowns before treatment begins
- Insurance coordination and benefit maximization
- Flexible payment plans through CareCredit, Cherry, Proceed Financing and other financing partners
- In-house membership options for those without insurance
We're committed to helping you find affordable options that fit your budget without compromising on quality. Our treatment coordinators will work with you to develop a plan that addresses both your dental needs and financial considerations.
Get Started by Making an Appointment Today
Take the first step toward your dream smile by scheduling a cosmetic consultation at Dominion Smiles. Our friendly team is ready to answer your questions and help you begin your transformation journey. Call us today at (210) 866-8730 to schedule your appointment. Located in the heart of San Antonio, we offer convenient scheduling. Your new smile is just a phone call away — we can't wait to meet you!
