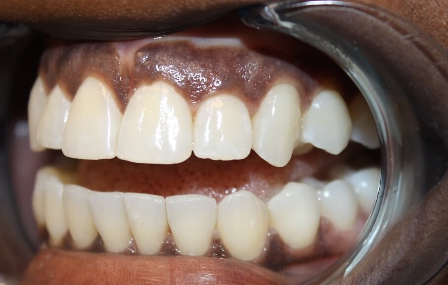
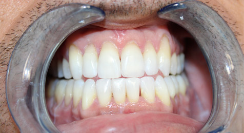
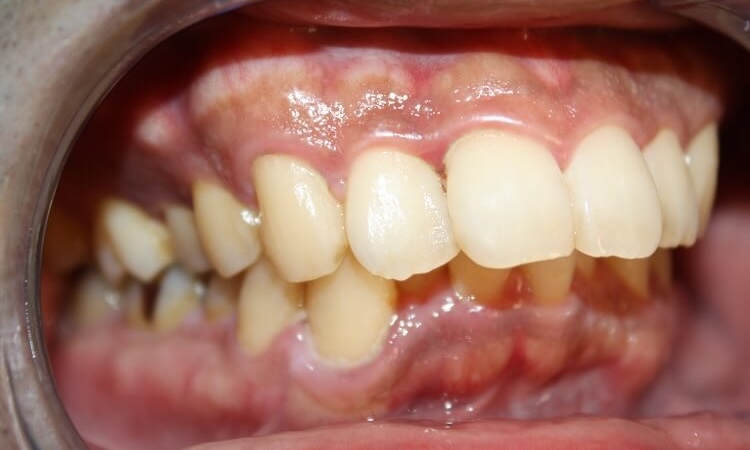
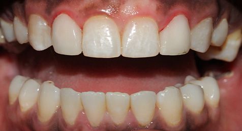
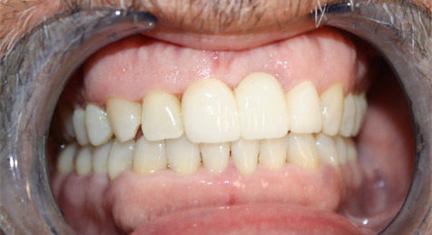
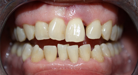
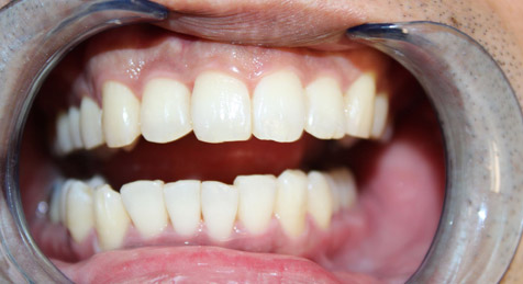
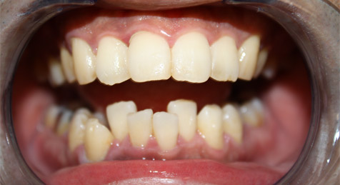
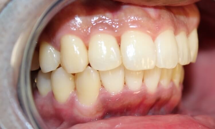
A busy lady with broken teeth and unhappy with her smile. Dr. Ma treated the disease and straightened her teeth with Invisalign.