
Why DOMINION SMILES
With decades of experience, advanced degrees and an appreciation for high-tech dentistry, Drs. Ruiwen Ma and Aliaksandr Dolbik founded Dominion Smiles with the goal of treating patients in a welcoming and homey practice environment.
Our SERVICES
Dominion Smiles offers the full gamut of general, cosmetic and emergency dentistry, including cleanings, fillings, teeth whitening, traditional braces and Invisalign clear braces, dental implants, bridges, root canals, veneers, bonding, extractions and dentures.
What Our Patients Saying
We see each patient as an individual and personalize the treatment plan to fit their unique needs. Attaining a perfect, dazzling smile can be a turning point in someone’s life and that’s why it’s the most rewarding part of our job. Here are a few dramatic before and after photos.
We appreciate all patients’ comments about their experiences in our dental practice, but because of privacy constraints, we are prevented from responding to all comments, whether positive or negative. Instead, we will reach out privately to all patients who post about their experiences.
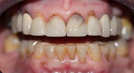
Before & After
We see each patient as an individual and personalize the treatment plan to fit their unique needs. Attaining a perfect, dazzling smile can be a turning point in someone’s life and that’s why it’s the most rewarding part of our job. Here are a few dramatic before and after photos.








New Equipment Procedure
FDA-approved LANAP (Laser-Assisted New Attachment Procedure) is a high-tech alternative to gum surgery. This laser combats periodontal disease by vaporizing the infected pockets without damaging the connective tissue. It incurs shorter recovery time, less pain and fewer complications. There are no knives, sutures or stitches.
Frequently Asked Questions
Insurance and
Financing Options
The doctors at Dominion Smiles don’t want finances to stand in the way of anyone’s treatment plan. In addition to accepting most PPO insurances, they also offer Cherry and Care Credit financing options. They also established an in-house membership program that offers specially priced services.
or Learn more about In-House Membership Plan














